
湖南日报·新湖南客户端2月6日讯(通讯员 许名杰)近日,湖南医药学院总医院泌尿结石科为一名右肾结石患者实施了“完全无管化”经皮肾镜碎石术,术后未放置肾造瘘管及输尿管支架,标志着医院在复杂肾结石微创治疗领域迈上了新的台阶。
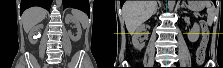
患者为62岁男性,影像学显示右肾存在不完全鹿角型结石,结石体积大、形态复杂,占据多个肾盏。按照传统方案,此类患者往往需要多通道经皮肾镜或分期手术,并常规留置肾造瘘管和输尿管支架,以确保引流安全,但部分患者术后疼痛明显、恢复时间较长、生活质量受影响,还需携带输尿管支架1月后返院拔除。
在充分评估肾脏解剖结构和结石分布后,医院泌尿结石科团队制定了以“精准穿刺、单通道碎石、严格控压”为核心的个体化手术方案。
泌尿结石外科主任、主任医师舒建平与主任医师全科立于1月16日为患者实施手术,术中通过精准穿刺建立单一经皮通道,在低压灌注和高清内镜引导下,分区击碎并取出结石,减少了对肾实质的损伤。术中对出血、肾盂内压力和残余结石情况进行动态评估,确认引流通畅、出血可控、结石清除可靠后,果断实施“完全无管化”——即不放置肾造瘘管和输尿管支架,仅皮肤小切口一针缝合。
患者术后生命体征平稳,术第一天即拔除导尿管下床活动,无明显腰痛及血尿。复查影像提示肾形态良好,无血肿征象,术后第三天即康复出院,达到了“清石效果好、创伤更微小、恢复更快速”的综合治疗目标。
本例针对不完全鹿角型结石的完全无管化经皮肾镜手术,是泌尿结石科在多年临床实践与技术沉淀基础上,于泌尿系结石微创治疗领域取得的又一重要突破。该成果的取得,依托于精确的术前评估和娴熟的通道建立、碎石、止血技术,体现了医院在“以患者为中心”的个体化决策理念上的实践与探索。下一步,科室将继续在复杂泌尿系结石的微创治疗、快速康复路径及临床研究等方面不断创新,为更多结石患者提供安全、高效、舒适的诊疗服务。
责编:周紫云
一审:周紫云
二审:李夏涛
三审:肖畅
来源:湖南日报·新湖南客户端


关于我们
湘公网安备 43010502000374号